Laptop
Minden kép egy ernyőn
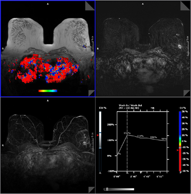
Új leletező szoftver az MR alapú emlő-képalkotásban.
A Siemens Healthcare új leletező szoftvert kínál, amely megkönnyíti a radiológusok számára a diagnózist és a biopsziát. Ezzel új lehetőségek nyílnak meg az MR-tomográfia nőgyógyászati alkalmazása előtt. A Syngo BreVis leletező szoftver egy páciens valamennyi vizsgálati eredményét – így például az MR-kép mellett ultrahang- és röntgenképeket is – egy pillantással áttekinthető képernyőben egyesíti. Ez a technika eddigi szintjén nem volt lehetséges. Továbbá, a Syngo BreVis Biopsy nevű, ugyancsak új intervenciós szoftver segítségével a vizsgáló orvos szükség esetén rögtön a biopsziát is megtervezheti illetve végrehajthatja. Ez messzemenően automatikus vezérléssel és az eddiginél lényegesen gyorsabban történik, ami páciensnek és orvosnak egyaránt kedvező.
Az MR-alapú emlő-képalkotás fő eszköze jelenleg a Magnetom Espree – Pink emlő-szkenner, amelyhez az alkalmazások széles választéka járul. Ez bővül most a Syngo BreVis és Syngo BreVis Biopsy speciális szoftvermegoldásokkal. Mindkét számítógépes diagnosztikai „tool“ az úgynevezett Syngo-munkahelyek támogatásával működik. A Syngo Brevis Workplace olyan rugalmas hardver és szoftvermegoldás, amely könnyen kezelhető, hatékony leletezést és automatikus vizsgálatijelentés-készítést tesz lehetővé az úgynevezett BI-RADS klasszifikáció alapján. A Syngo Brevis Biopsy Workplace szoftvere automatikusan, gyorsan és pontosan meghatározza a mintavétel koordinátáit. A két új szoftvert a MeVis brémai képalkotószoftver-cég fejlesztette a Siemens-szel való szoros együttműködésben.
Minden kép egy ernyőn
[fbcomments url="https://www.technokrata.hu/kutyuk/laptop/2009/09/13/minden-kep-egy-ernyon/" width="800" count="off" num="3" countmsg=""]





