Smart home
Újfajta képek az agyról
Kis dózisú radioaktív folyadék révén létrejövő pozitron-sugárzás után gamma kvantumok keletkeznek.
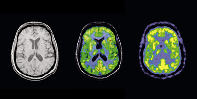
Teljesen új „betekintést” nyújt az emberi agyba a mágnesrezonanciás tomográfiát (MR) és a nukleáris medicina egyik képalkotó eljárását, a pozitron-emissziós tomográfiát (PET) kombináló Siemens-prototípus. Szakértők úgy vélik, hogy ez az egyedülálló új berendezés javítja az Alzheimer-kór diagnosztizálásának lehetőségét a korai szakaszban, valamint az orvosok számára lehetővé teszi a szélütéses (stroke) páciensek állapotának gyorsabb felmérését és a megfelelő terápia meghatározását. A tübingeni egyetem és a memphisi Tennessee egyetem (USA) orvosi karának doktorai a közelmúltban felvételeket készítettek az új berendezéssel az emberi agyról. Az MR technika nagy felbontóképességével és a lágy szövetekről adott éles kontrasztú képeivel járul hozzá a kombinált eljáráshoz, míg a rendkívül érzékeny PET részlet-gazdag képet ad az agy olyan régióiról, melyek fokozott anyagcsere-tevékenységet mutatnak. A prototípust az év második felében tovább tesztelik Németországban.

Eddig a PET technikát használó ideggyógyászok nem tudtak megbízhatóan különbséget tenni kisebb fokú kognitív zavarok és az Alzheimer korai szakasza között. E mellett nem voltak képesek az Alzheimerrel járó agytérfogat-csökkenés egyidejű meghatározására. Az MR/PET révén a vizsgálat egy lépésben elvégezhető. Az orvosoknak a prototípus segítségével más ideggyógyászati rendellenességek – például Parkinson-kór, epilepszia, depresszió és skizofrénia – jobb megfigyelésére és a folyamat fejlődésének felderítésére is módjuk nyílik.
A PET vizsgálat során a páciensbe nagyon kis dózisban radioaktív folyadékot fecskendeznek, amely olyan sejtekben gyülemlik fel és bocsát ki pozitron-sugárzást, amelyeknek megnőtt az anyagcsere-értéke. Amikor a pozitronok elektronokkal ütköznek, megsemmisülnek, és gamma kvantumok keletkeznek. Ezeket a kvantumokat regisztrálja a műszer detektora, amely az adatokból háromdimenziós, rétegelt képet alkot. A Siemens Orvostechnika (Medical Solutions, Med) rendkívül gyors működésű és érzékeny lavina-fotodiódákat alkalmaztak detektorként. Ezek érzéketlenek a tandem berendezés MR-„felének” erős (3 Tesla) mágneses térerejére, amelynek az a nagy, kb. 0,2 mm-es felbontóképességét köszönheti. A két készülék által generált képeket a berendezésben szuperponálják, és így keletkeznek az eddig soha nem látott képek.

[fbcomments url="https://www.technokrata.hu/kutyuk/smart-home/2007/05/27/ujfajta-kepek-az-agyrol/" width="800" count="off" num="3" countmsg=""]





